Back to MBBS B12 Student Portal


MBBS Batch 12 Histology MicroPhoto Archive

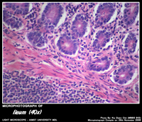
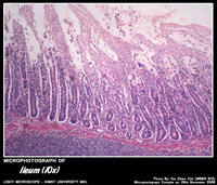
ILEUM

Histology of Ileum

  • Has fewer villi,
  • Very short broad tipped ( club shaped )
  • Relatively abundant goblet cells.
  • Lamina propria typically contains many lymphoid nodule clusters (Peyer’s patches).
  • Bulge into luminal surface and extend into the luminal mucosa.

Click to enlarge


We Are Fueled By Google Ads.