Back to MBBS B12 Student Portal


MBBS Batch 12 Histology MicroPhoto Archive

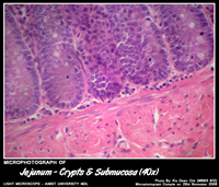
JEJUNUM

Histology of Jejunum

  • Has long leaf like villi.
  • Many plicae circulares.
  • Lining epithelium has goblet cells more in number than in duodenum.
  • Contains neither Brunners glands or Peyer’s patches.
  • Crypts of Lieberkuhn present. Simple tubular glands, Coiled, Extents into the lamina propria below the bases of the villi.

Click to enlarge


We Are Fueled By Google Ads.