Back to MBBS B12 Student Portal


MBBS Batch 12 Histology MicroPhoto Archive

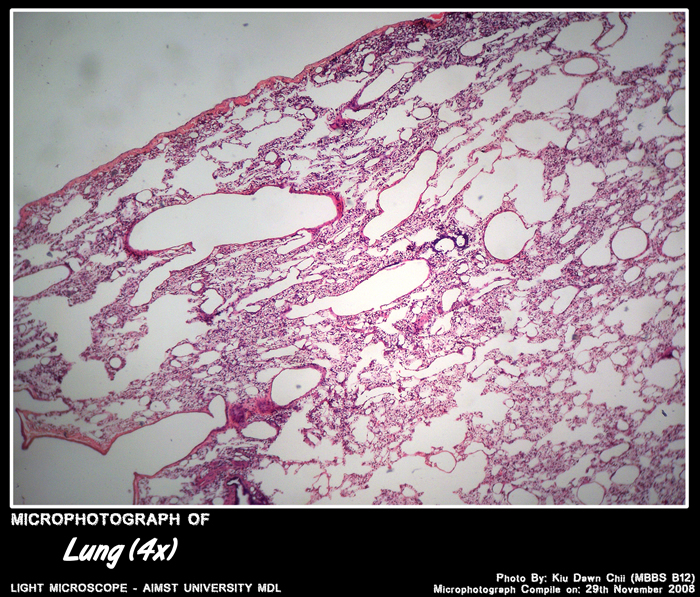
LUNGS

Histology of Bronchi: Primary, secondary, tertiary

  • Epithelium – respiratory epithelium – columnar cells have gradual decrease in height, cilia & goblet cells.
  • Lamina propria - gradual decrease in thickness & increase in number of elastic fibres.
  • Glands – mucous & serous glands .
  • Skeletal connective tissue – complete rings in primary, plates of cartilage in smaller bronchi.
  • Muscle – several layers of circular smooth muscle.

Histology of Bronchioles

  • Epithelium – Simple columnar with cilia & goblet cells.
  • Lamina propria – gradual decrease in thickness & increase in number of elastic fibres.
  • Glands – none.
  • Skeletal connective tissue – none.
  • Smooth muscle – decreasing numbers of smooth muscle cells.

Histology of Terminal bronchioles

  • Epithelium – Simple cuboidal cilia free cells named Clara cells , some cells ciliated, goblet cells rare.
  • Lamina propria - gradual decrease in thickness & increase in number of elastic fibres.
  • Glands – none.
  • Skeletal connective tissue – none.
  • Smooth muscle – decreasing numbers of smooth muscle cells.

Histology of Respiratory bronchioles

  • Epithelium – Low cuboidal, with few cilia; no goblet cells.
  • Lamina propria - gradual decrease in thickness & increase in number of elastic fibres.
  • Glands – none.
  • Skeletal connective tissue – none.
  • Smooth muscle – decreasing numbers of smooth muscle cells.

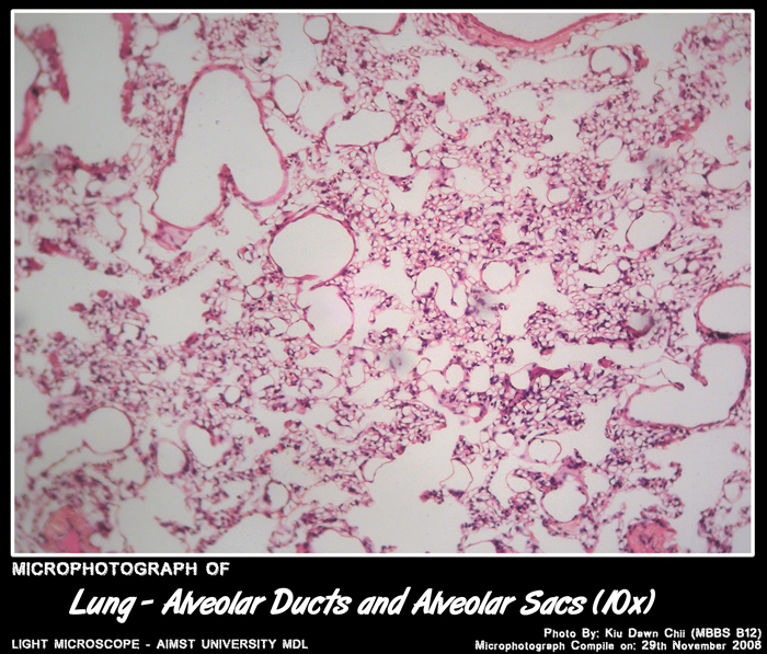
Histology of Alveolar ducts & sacs

  • Epithelium – some low cuboidal, no cilia.
  • Lamina propria - gradual decrease in thickness & increase in number of elastic fibres.
  • Glands – none.
  • Skeletal connective tissue – none.
  • Smooth muscle – decreasing numbers of smooth muscle cells.

Histology of Alveoli

  • Epithelium – mostly simple squamous (type 1) – some low cuboidal ( type 2 ) in septa.
  • Lamina propria very thin with interstitium rich in capillaries & elastic fibres.
  • Glands – none.
  • Skeletal connective tissue – none.
  • Smooth muscle – none.

Click to enlarge


We Are Fueled By Google Ads.