Back to MBBS B12 Student Portal


MBBS Batch 12 Histology MicroPhoto Archive

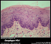
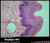
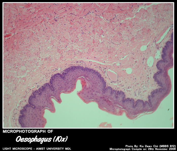
OESOPHAGUS

Histology of Oesophagus

  • Mucosa – stratified squamous epithelium nonkeratinized, lamina propria interdigitating with the basal border of the epithelium, muscularis mucosae.
  • Submucosa – mucus secreting oesophageal glands.
  • Muscularis externa – composed of skeletal muscle, a mixture of skeletal and smooth muscle in the middle third, smooth muscle in the lower third.
  • Adventitia – outer covering most of its length with the lower end with serosa.
  • Mucus secreting oesophageal glands are seen in the lamina propria near the cardio-oesophageal junction.

Click to enlarge


We Are Fueled By Google Ads.