Back to MBBS B12 Student Portal


MBBS Batch 12 Histology MicroPhoto Archive

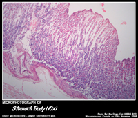
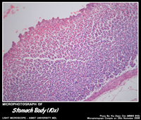
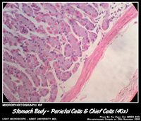
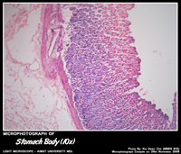
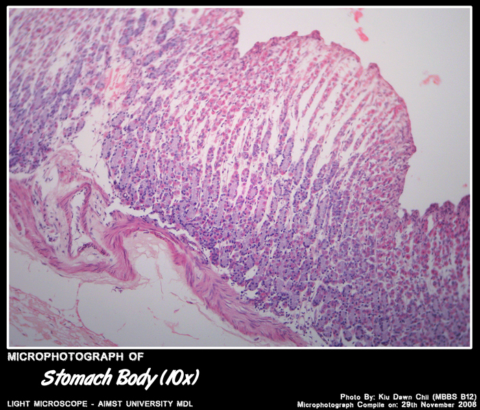
STOMACH BODY

Histology of Stomach

  • Mucosa – gastric glands, two or three layers of muscularis mucosae & an intervening lamina propria.
  • Smooth muscle of the muscularis externa is arrarnged in three layers – outer longitudinal, middle circular, and inner circular.
  • submucosa of the stomach is made up of loose connective tissue. It has a rich vascular and lymphatic net work.
  • Slight variations in four major regions – cardia, fundus, body and pylorus.
  • Serosa composed of a thin loose connective tissue covered by a smooth wet, simple squamous epithelium.

Cells of Stomach Gland

  • Mucous neck cells (columnar) - produce a soluble mucus that lubricates the chyme, reducing friction as it moves along the digestive tract.
  • Regenerative (stem) cells (columnar) - they replace all the specialized cells lining the fundic glands.
  • Parietal cells (eosinophilic cytoplasm,round basally located nuclei) - manufacture hydrochloric acid and gastric intrinsic factor.
  • Chief (zymogenic) cells (columnar, basophilic cytoplasm,basally situated nuclei) - apically situated secretory granules containing the proenzyme pepsinogen (rennin and gastric lipase). Most of these cells are in the base of the fundic glands.

Histology of Fundus & Body of Stomach

  • Gastric glands known as fundic glands – shallow pits(1/3rd of the mucosal depth) and long glands.
  • Fundic glands contain abundant – parietal and chief cells.

Histology of Pyloric Region of Stomach

  • Glands are known as Pyloric glands.
  • Deep pits and short glands.
  • Large pale staining mucus secreting cells with basal nuclei predominate, parietal cells rare.

Click to enlarge


We Are Fueled By Google Ads.